1996년
2025년
2019년
2025년
온라인 예약 및 상담
진료과목을 선택해주세요
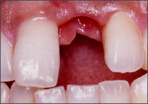
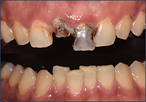
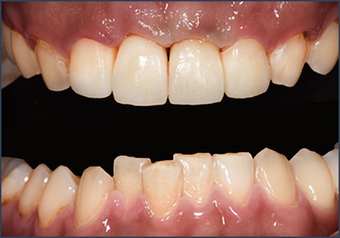
임플란트
치아교정
심미치료
일반치료 & 예방치료
빠른상담
개인정보수집이용동의